Главный врач, врач стоматолог детский, ведущий специалист по детской реабилитации и восстановлению детских зубов коронками, лечение под наркозом. Член ассоциации Союза стоматологов Столицы
Доктор является примером для коллег в своей жажде к новым знаниям и навыкам. Проводит лечение с адаптацией, устанавливает стандартные металлические и циркониевые коронки в молочном и сменном прикусе. Прием проводит в бинокулярах. Родители маленьких пациентов уверены в качестве проводимого лечения, получают максимум информации об этапах лечения и уходе в домашних условиях, а маленькие пациенты видят друга и с радостью идут на прием.
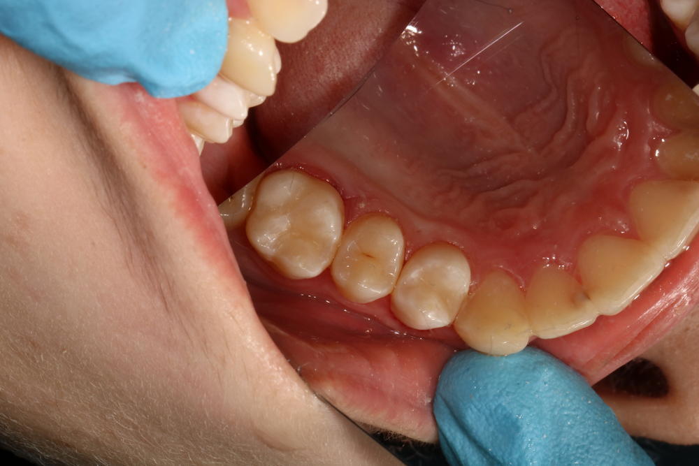
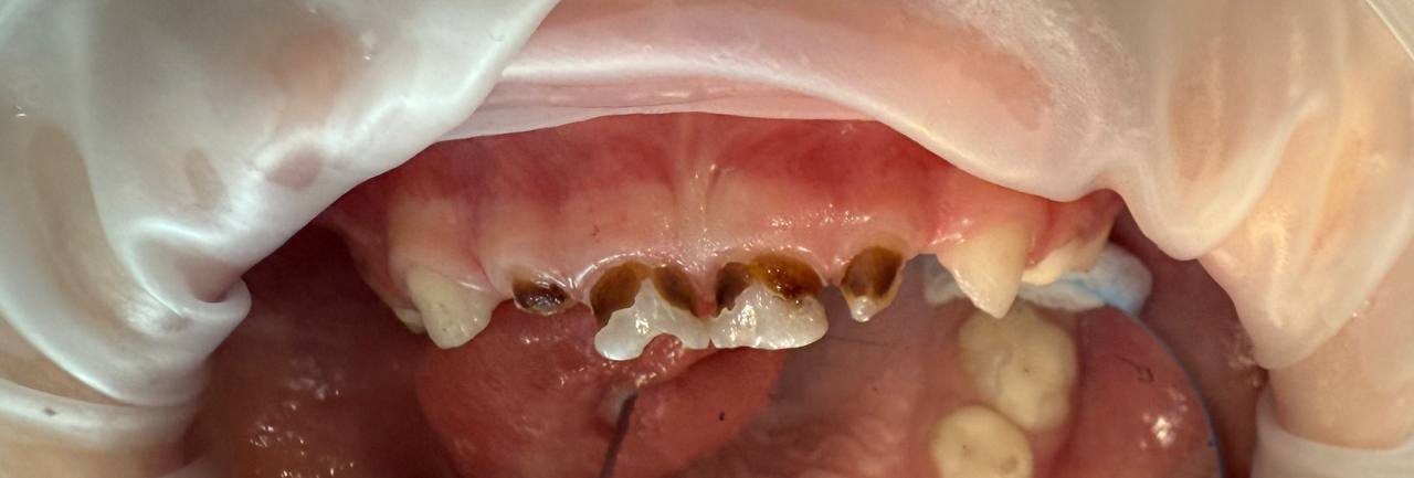
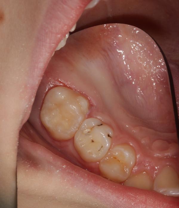
Лечение кариеса молочных зубов;
Лечение пульпита молочных зубов;
Лечение периодонтита с использованием современных материалов;
Пломбирование молочных зубов;
Эстетическая реставрация молочных зубов;
ICON — лечение кариеса без бормашины;
Герметизация фиссур;
Профессиональная гигиена полости рта;
Фторирование зубов и ремотерапия;
Коронки на молочные зубы;
Лечение зубов во сне (наркоз).
2016г. — Московский государственный медико-стоматологический университет имени А.И. Евдокимова. Врач стоматолог общей практики
2016г. — Аккредитация специалиста
2022г. — прошла аккредитацию и повышение квалификации по специальности Стоматология общей практики. Автономная некоммерческая организация дополнительного профессионального образования «Академия инновационной стоматологии»
2018г. — Авторский курс обучения и мастер-класс В.А.Овсепян. «Раббердам-как стандарт в работе врача стоматолога»
2018г. — Авторский курс обучения и мастер-класс Е.Ю.Мендоса. Технологии консервативной прямой реставрации передних зубов композитами линейки Estelite (Sigma Quick- АSTERIA)«
2019г. -Теория и мастер-класс Липкинд Ж.А. «Инновационная система реставрации фронтальной группы зубов COMPONEER система прямых композитных виниров»
2019г. — XLI Всероссийская научно-практическая Конференция Стоматологической Ассоциации России (СтАР) «АКТУАЛЬНЫЕ ПРОБЛЕМЫ СТОМАТОЛОГИИ». Сертификат участника симпозиума. «Современные аспекты детской стоматологии»
2019г. — Управление местом в зубном ряду на каждодневном приеме детского стоматолога (лектор Хироюки Вакацуки)
2019г. — Сертификат участника. Эстетическая реабилитация травматически поврежденных передних зубов у молодых пациентов (лектор Зафер Чехрелли)
2019г. — Сертификат участника. Лечение кариозных поражений на основе оценки риска развития кариеса (лектор Ясми О Кристал)
2019г. — Сертификат участника. Минимально инвазивные подходы, включая фторид диамина серебра для лечения кариеса у детей (лектор Ясми О Кристал)
2019г. — Сертификат участника. Roogies: когнитивный виртуальный инструмент для управления поведением детей на стоматологическом приеме (лектор Антонио Педро Сильва)
2019г. — Сертификат участника. Профилактическая и не восстановительная терапия кариеса у детей — комплексный подход (лектор Сванте Тветман)