Записаться
Eдиный контактный центр
+7 (499) 490-85-57
Медведково
ул. Молодцова, д. 2, корп. 2
Обратная связь с руководством
Все клиники
Поиск
Услуги
Цены
Спецпредложения
Врачи
Лечение во сне
ДМС
Рассрочка
Услуги
Цены
Спецпредложения
Врачи
Лечение во сне
ДМС
Рассрочка
Все клиники
Обратная связь с руководством
Как добраться
+7 (499) 490-85-57
Стоматология в Медведково
Записаться
Круглосуточная онлайн-запись
Главная
/
Врачи
/
Колесникова Ирина Александровна
Бесплатная консультация
врачебный стаж
с 2016 года
более
2 850 пациентов
Колесникова Ирина Александровна
Врач стоматолог-терапевт. Ведущий специалист по эндодонтиии, работе с микроскопом. Врач 1 категории, член ассоциации Союза стоматологов Столицы
Специализация:
Лечение зубов в медикаментозном сне
Лечение кариеса и эстетическая реставрация
Лечение каналов зубов (эндодонтия)
Лечение зубов с использованием микроскопа
Работы врача
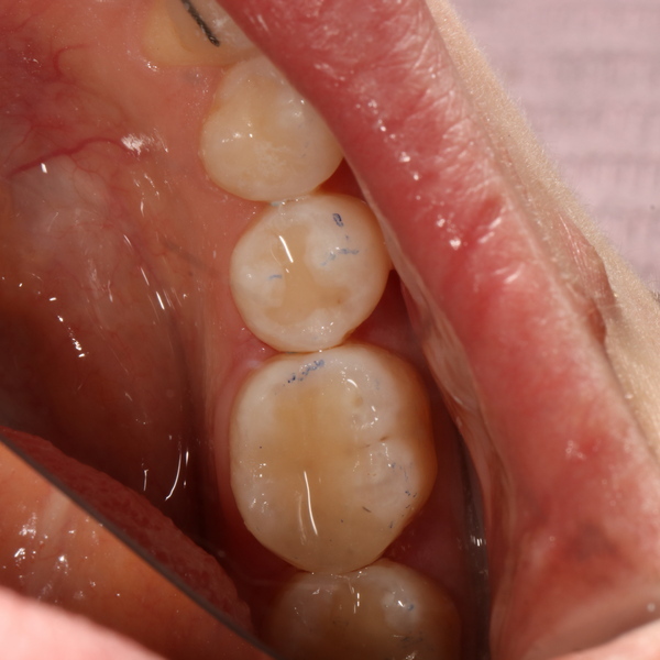
Замена пломбы в зубе 3.6 и лечение кариеса в зубе 3.5
р.
р.
Лечение вторичного кариеса и реставрация композитным материалом
р.
р.
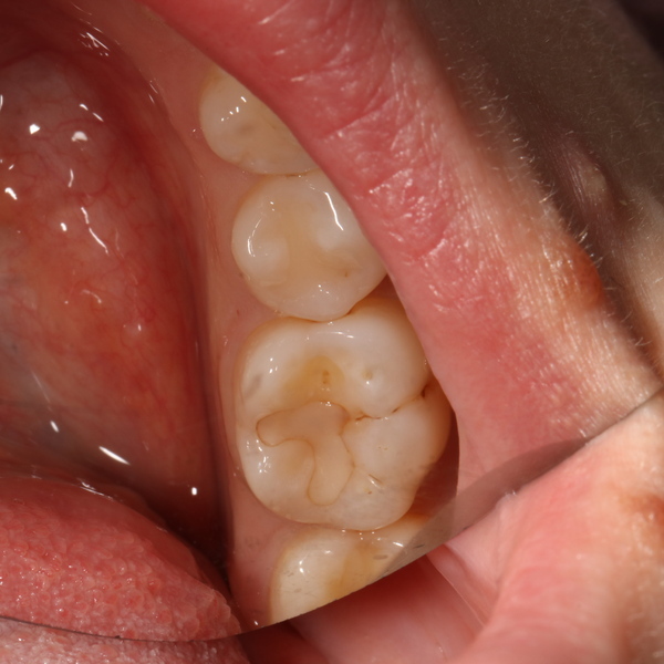
Лечение кариеса зуба 4.8 реставрация композитным материалом
р.
р.
р.
р.
Замена пломбы в зубе 3.6 и лечение кариеса в зубе 3.5
р.
р.
Лечение вторичного кариеса и реставрация композитным материалом
р.
р.
Лечение кариеса зуба 4.8 реставрация композитным материалом
Дипломы и сертификаты
Назад
Главная
Далее
Все врачи