2022г. – «Лучевая диагностика в амбулаторной практике врача-стоматолога» Voxel, лектор Рогацкин Д. В.
2023г. – «Эпидемиология и профилактика инфекций, связанных с оказанием медицинской помощи (ИСМП)» Портал непрерывного медицинского и фармакологического образования Минздрава России
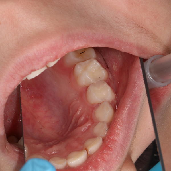
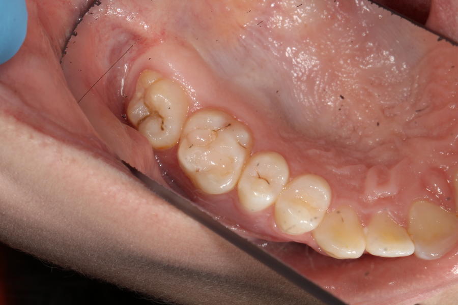
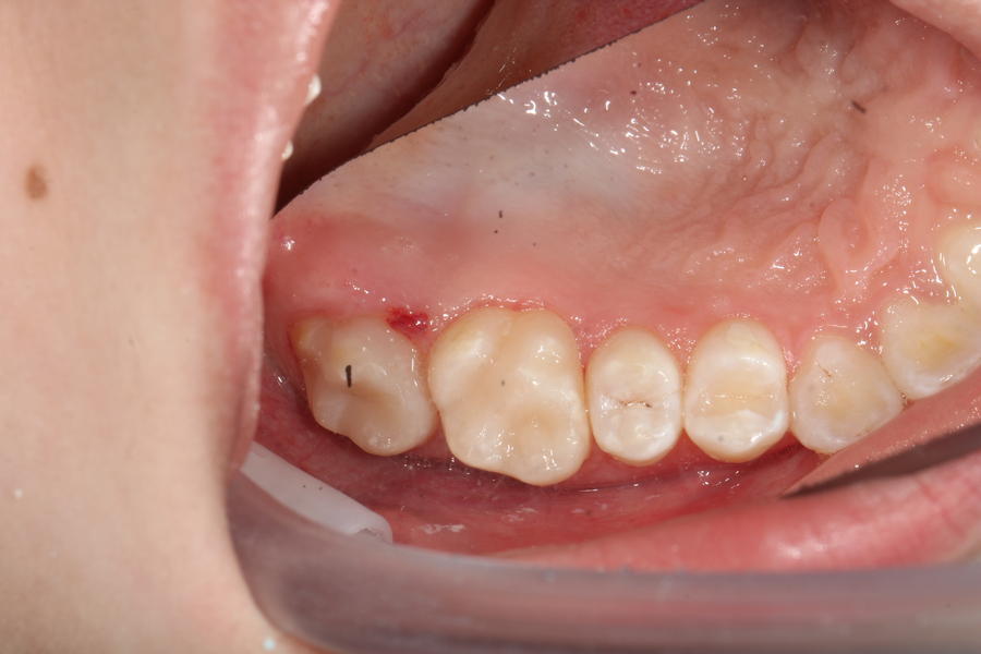
2023г. – «Эстетико-функциональная реставрация жевательной группы зубов» DentOptics, лектор Зубкова А.А.
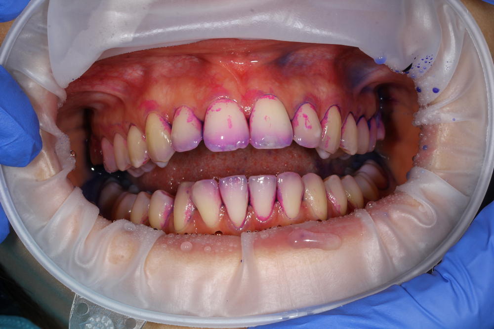
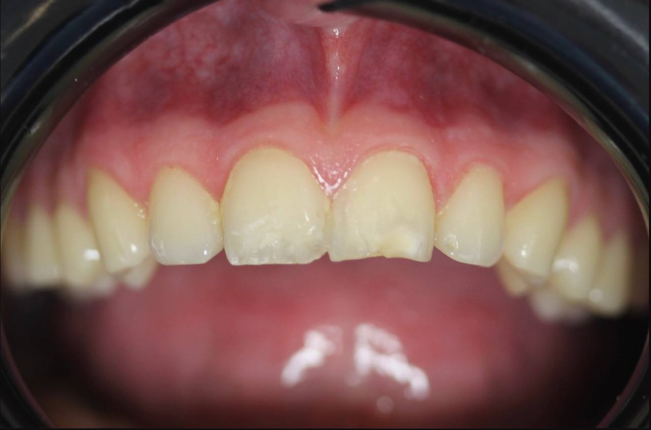
2023г. – «Эстетическая реставрация передней группы зубов» СтомПорт, лектор Саркаров И.С.
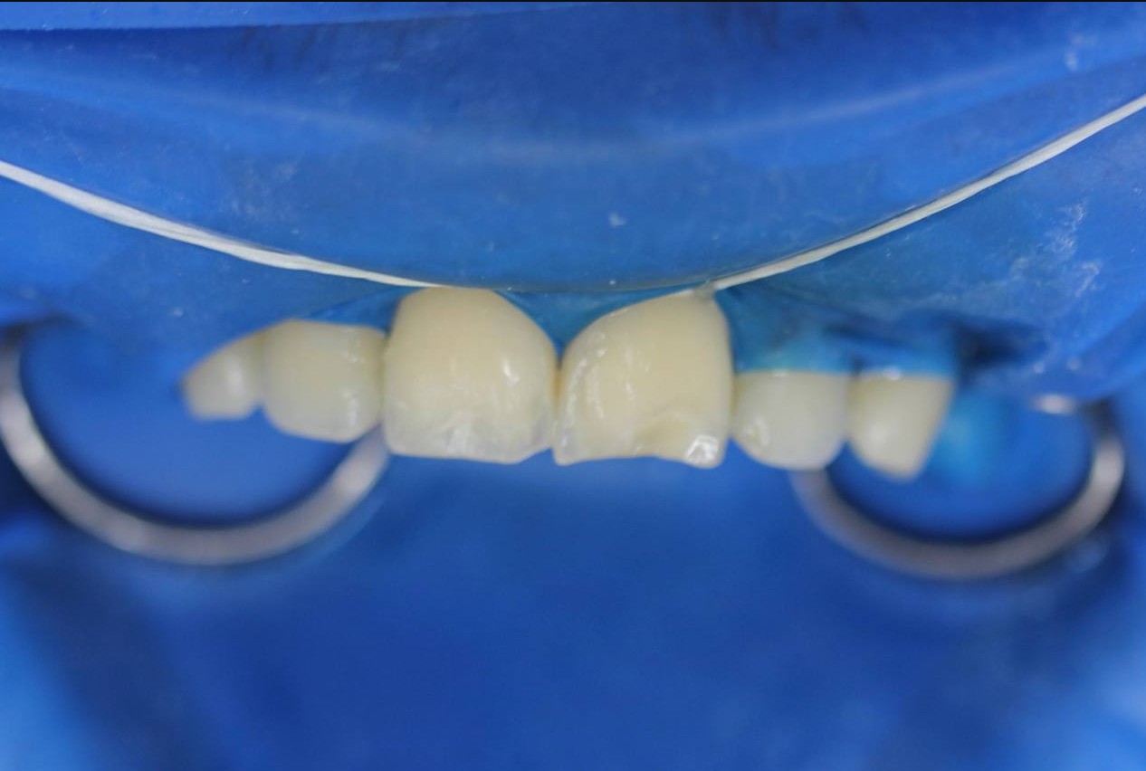
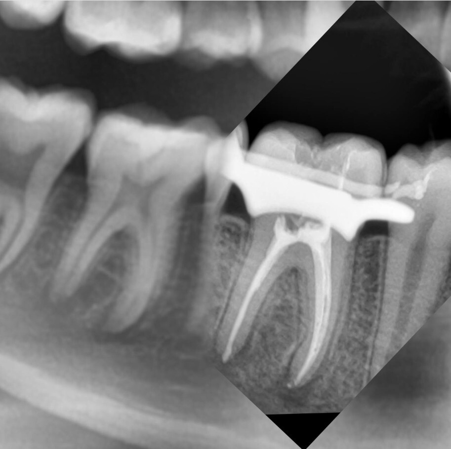
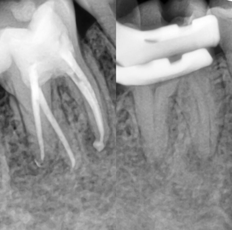
2023г. – Курс по изучению протоколов обработки, ирригации, обтурации корневых каналов. Работа с мокроскопом. Geosoft endoline, лектор Платонов Е.В.
2023г. – Научно-практическая конференция «Эндодонтическое перелечивание» Тихоокеанский государственный медицинский университет, лектор Землякова О.В.
2023г. – Стоматологический конгресс GreenDent education
2023г. – Терапевтическая стоматология Стоматологический образовательный центр «Авиценна», лектор Месропова К.И.
2024г. – «Основы современной детской стоматологии» DentalOptics, лектор Сарышева О.С.
2024г. – «Принципы обработки корневых каналов с экстремальной кривизной», лектор Николаев Д.
2024г. – Повторное эндодонтическое лечение. Основные протоколы и инструментарий. Geosoft endoline, лектор Болячин А.В.
2025г. – «Минерал триоксид агрегат: техника работы», лектор Николаев Д.