2020г. — Базовый курс OrthoArt «Рецепты ортодонтического счастья» – Ильяр Нуртдинов
2022г. — Сертификационный курс «Уровень I Школы Ортодонтии». ОРТОДОНТ ЭКСПЕРТ. Санкт-Петербург
2022г. — Ортодонтическое планирование как ключ к результатам в ортогнатической хирургии – Максим Романовский
2022г. — Диагностика и цели лечения в детской ортодонтии – Клаудия Казанова
2022г. — Внутрисуставные патологии и скелетные асимметрии – Андрей Дыбов
2022г. — Конференция Pitts 21
2022г. — Дистальная окклюзия от А до Я – Нино Сигуа
2022г. — Ретенция верхних клыков – Мария Сайпеева
2022г. — Честная ортодонтия: как выйти достойно из критических ситуаций – Анна Бадмаева
2022г. — I Международный Московский конгресс функциональной стоматологии. Спикеры: Грегор Славичек, Азат Фазлиев, Александр Бабуров, Илья Скляров, Константин Ронкин, Сергей Новиченко
2022г. — Как грамотно начать лечение пациента – Сергей Тихонов
2022г. — Флексы как прогрессивный метод лечения в современной ортодонтии – Екатерина Иванова
2022г. — Рождественские встречи: дети и брекеты – Крис Чанг, Наталия Старикова, Мария Сухан, Сергей Тихонов
2022г. — Кортикотомия — агент ортодонтической безопасности – Елена Гусарина
2023г. — OZZ.School: «Удаляешь – значит понимаешь» – Асия Лисицына, Дмитрий Богатырьков
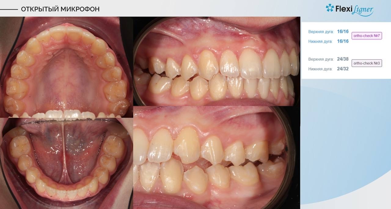
2023г. — Flexiligner – новые возможности системы
2023г. — Ортодонтическое лечение детей и подростков – Сергей Тихонов
2023г. — Возможности брекет-систем от Мехико до Москвы – Насиб Балют
2023г. — Спорные случаи на элайнерах – Ольга Бажанова
2024г. — OZZ.School – Практический офис-курс: Артикулятор и окклюзионная терапия – Лисицына А.В., Богатырьков Д.В.
2024г. — 3D-цефалометрический анализ в междисциплинарной стоматологии – MyRay Diagnostica, Обрубов
2024г. — С уважением к ВНЧС. Гипсуем и анализируем – OZZ.School, Санкт-Петербург
2024г. — Практикум по изгибанию дуг при лечении с удалением – OZZ.School
2024г. — Решение главных задач: улыбка, I-й класс, стабильность – Ортодонт-эксперт, Тихонов А.В.
2025г. — Всё лучшее – детям – OZZ.School, Санкт-Петербург
2025г. — Второй класс без прикрас – OZZ.School, Санкт-Петербург
2025г. — Новые возможности ортодонтии – Flexiligner, Москва, Бажанова О.В., Саксонова Е.В., Alessandro Giovannozzi, Giuseppe Padricielli
2025г. — Менеджмент ретенированных зубов или сказка про репку, Филоненко С.А., Воронеж
2025г. — Искусство мыслить: 7 неопубликованных кейсов от Марко Роса, OZZ.school, Санкт-Петербург, Marco Rosa.
2025г. — Поппури: открытый прикус, глубокий прикус, асимметрии и третий класс. Богатырьков Д.В., Москва, OZZ.school
2025г. — Ортодонт + ортопед, Сальвадор Конгост (Германия), Богатырьков Д.В., Синицина Т.М., OZZ.school
2025г. — iTOP (Individually Trained Oral Prophylaxis) – индивидуальная программа подготовки специалистов в сфере профилактики стоматологических заболеваний. Гайворонская А.М.
2025г. — Современна миофункциональная коррекция, 16 академ. часов, Борисова К.В.
2025г. — Мариано Рокабадо - «Все о ВНЧС. Обратная сторона